Daily Dose
Interesting Images from Daily Reporting! (click on the image to enlarge it)
Pages
Home
Radiology MCQs
Differential Diagnosis
Musculoskeletal Radiology
Head and Neck Imaging
Radiology Journal and Internet rounds
General Radiology
Wednesday, 29 July 2009
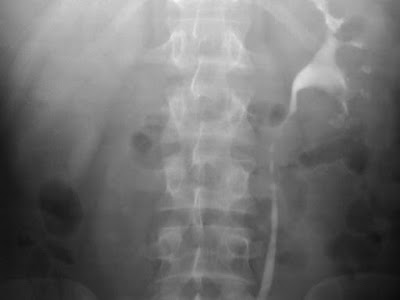
Obstructive uropathy
Persistant delayed nephrogram of the right kidney in a UVJ calculus.
No comments:
Post a Comment
Newer Post
Older Post
Home
Subscribe to:
Post Comments (Atom)
No comments:
Post a Comment